ジュベルック | 恵比寿院(東京都渋谷区)|美容皮膚科シロノクリニック

注目の肌再生スキンブースター!ジュベルック
注目の肌再生スキンブースター!ジュベルック

ジュべルックは、
「肌再生スキンブースター」として注目を浴びている注入剤です

ジュべルックは、
「肌再生スキンブースター」として
注目を浴びている注入剤です

若々しい表情という意味から生まれたJuvelookは いきいきと活力があふれた表情に生まれ変わります
PDLLAポリ乳酸と非架橋ヒアルロン酸が組み合わさった製剤で、「酸の刺激」がコラーゲンを刺激して増えることで肌にハリを与え、自然にボリュームアップさせていく治療法です。線維芽細胞が刺激されてコラーゲンが産生させるため、「コラーゲン注射」とも呼ばれています。
肌の弾力アップ、毛穴の引き締め、小じわの改善効果が期待できます。その他、ニキビ跡や傷跡などの凹凸の解消にも優れた作用があります。また、レーザーだけでは難しい赤みにも効果が認められています。  人体の生体適合性に優れている特徴から、アメリカのFDA、K-FDA(韓国医薬品)の承認を取得した安心の注入剤です。 

治療の効果

  • 肌のボリュームアップ
  • コラーゲン促進
  • 肌質改善
  • 肌再生
  • 毛穴引き締め
  • 小じわ改善
  • くすみ改善
  • ニキビ跡・傷跡の修復
  • 妊娠線の修復
  • 肌の引き締め
  • 肌のハリをアップ

ジュベルックの特徴

ジュベルックの瓶と注射器

ジュベルックはポリ乳酸と非架橋ヒアルロン酸が組み合わされた製剤で、「酸の刺激」が線維芽細胞を刺激してコラーゲンが産生させます。線維芽細胞が活性化されることで肌が深部から持ち上げられ、肌の弾力がアップしていきます。毛穴の引き締め、小じわの改善効果、ニキビ跡や傷跡などの凹凸の解消、レーザーだけでは難しい赤みにも効果が認められています。非架橋ヒアルロン酸による「即効性」とポリ乳酸による「持続性」が高い注入剤です。 

ジュベルックの肌の変化

ポリ乳酸「PDLLA」とは

ポリ乳酸はトウモロコシ、ジャガイモ、サトウキビなどのデンプンからエキスを抽出して作られる成分です。アメリカのFDAで人体への使用が承認された物質で、糸リフトや手術の縫合糸としても広く使用されています。1〜2年かけて体内で水と二酸化炭素に分解されるため、体内に残りません。

分解されていく様子

分解されていく様子1週間後分解されていく様子6か月後

ジュベルック専用の撹拌機を使用して溶解

撹拌機の写真

ジュベルックは粉末状のため、溶解しにくい製剤です。しっかりと溶かさずに注入してしまうとシコリのリスクとなります。安全に治療を行うために、ジュベルック専用の撹拌機で30分間しっかりと攪拌してから注入を行います。

ジュベルックとリジュランの比較

ジュベルックとリジュランの比較

ソフウェーブとその他たるみ治療の比較
ソフウェーブとその他たるみ治療の比較

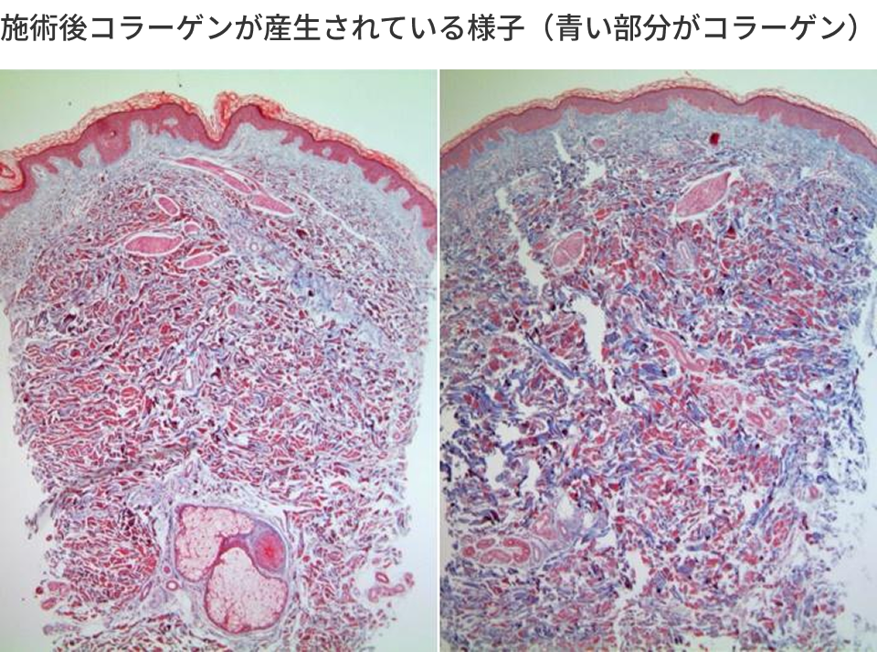
特徴1局所的なボリュームアップに有効

コラーゲン産生を促進させる効果が高く、にきび跡や傷跡の修復に優れています。
にきび跡の治療にはフラクセル、ダーマペンやポテンツァなどが主流ですが、赤みなどのダウンタイムが比較的長い傾向です。比べてジュベルックは、ダウンタイムを少なくボリュームアップしていくことが可能です。

施術後コラーゲンが産生されている様子(青い部分がコラーゲン)

特徴2ナチュラルなボリュームアップ+持続効果が長い

コラーゲンが増生することで肌がグッとボリュームアップしていきますのでナチュラルに改善していきます。また、糸リフトにも使用されるポリ乳酸は注入後1年~1年半かけて体内で分解されていきますので、効果の持続が長いのがメリットです。

特徴3医師の手打ちによる確かな注入と高い安全性

医師がお悩みに応じて、必要箇所に手打ちで注入していきます。注入箇所、深さ、薬剤の量など患者さまお一人おひとりに合わせて微調整して治療を行っていくため、細やかな部位の調整も有効です。また、人体の生体適合性に優れているため、アメリカのFDA、K-FDA(韓国医薬品承認)を取得した安心の注入剤です。主成分はデンプンを原料とした成分で、比較的アレルギーが出にくいこともあり、以前から医療現場で使用されている安心の成分です。

特徴4理想的なポリマー条件

ジュベルックは複数のタイプに分解される、ポリ乳酸(PLA、PLLA、PDLLA)の中の「ポリDL乳酸(PDLLA)」を成分とした製剤ですが、PDLLAはコラーゲンブースターとして理想的な条件を備えているため、注目の製剤と言われています。

  • 円形の網状構造を持っている

    球状の形状は副作用を起こしにくい特徴があり、網状構造はコラーゲンブースターとして持続期間を長くします。

    球状の形状網状の構造

  • 適度な酸の分泌量

    分泌した酸による組織反応がボリューム効果と再生効果に作用し、肌を改善する効果を与えますが、放出量が多いと副作用も大きくなります。ジュベルックは適度な酸の分泌量を維持します。

  • 適度な粒子サイズ

    粒子のサイズは20~50㎛(マイクロメートル)が適切と言われていますが、ジュベルックの粒子サイズは24~34㎛で、適度は粒子サイズになります。

肌育治療での比較表

肌育治療での比較表

肌育治療での比較

治療の流れ

禁忌事項

  • 妊娠中および授乳中の方
  • 施術部位に重篤な皮膚疾患や感染症がある方
  • ヒアルロン酸にアレルギーがある方
  • 出血性疾患の方
  • 糖尿病、心臓病、肝臓病などの基礎疾患がある方
  • 心臓ペースメーカーを使用している方
  • ケロイド体質の方
  • 施術部位にタトゥーやアートメイクがある場合
  • 施術部位に金属糸や金属プレートを入れている方
  • 医師の診断により治療は行えない場合

治療のポイント

麻酔

麻酔クリームを浸透させてから行います。
所要時間:20~30分

メイク

注入部位のメイクは翌日から可能です。

注意事項
  • 治療直後、赤みや膨隆、腫脹、注射による施術のため出血や一部に内出血が起きることがあります。

  • 内出血が生じた場合、メイクでカバーして頂きながら1週間程度で徐々に吸収されていきます。

  • 当日はシャワー浴とし、入浴やサウナ、アルコール摂取は控えて下さい。

  • また、施術後の肌は敏感になっているため、紫外線や肌への強い刺激に注意してください。

ジュベルック治療の副作用・リスク

紅斑、浮腫、違和感、凹凸、皮下色素沈着などが生じる可能性があります。注入した製剤は半年~1年半程度で徐々に吸収され、半永久的に持続する治療ではありません。

治療費

容量料金
ジュベルック (ヒアルロン酸配合)88,000円
ジュベルック+ボトックス(ヒアルロン酸配合)99,000円
傷跡(小)22,000円
傷跡(大)44,000円

料金一覧をみる

よくあるご質問

Q. 効果はどれくらいありますか?

A. 1年から1年半と言われています。注入後、時間をかけてゆっくりと分解されていきます。ヒアルロン酸による即時効果とポリ乳酸による持続性が期待できる新しい注入治療です。

Q. 何回程度必要ですか?

A. 1か月おきに3回程度、その後は1年に1回施術を行うことで効果の持続が期待できます。

Q. 痛みはありますか?

A. 表面麻酔を行ってから治療を行いますのでご安心ください。

Q. ジュベルックとヒアルロン酸の違いはなんですか?

A. 自然にハリ感をアップさせる肌育治療がジュベルックで、形を作ったり、溝を埋め立てて深いシワを改善するのがヒアルロン酸です。

Q. ジュベルックとリジュランの違いはなんですか?

A. ジュベルックの主成分はポリ乳酸、リジュランはポリヌクレオチドです。どちらもコラーゲンの産生を促進させますが、ジュベルックは肌のボリュームアップに優れ、リジュランは肌を元気にする再生能力が優れています。魚卵アレルギーのある方はジュベルックをお勧めします。

Q. 手打ちと機械打ちどちらが良い?

A. シロノクリニックでは患者さまの肌状態に合わせて手打ちで注入を行います。手打ちで注入を行うことで細やかな部位への注入、ニキビ跡や傷跡への注入に医師が深さや注入量を調整しながら施術を行うことが可能です。一方で、機械での注入は幅広い範囲へ均一かつ正確に注入を行うメリットがありますが、ジュベルックは機械打ちは行いません。

Q. ジュベルックの安全性は?

A. ジュベルックはアメリカのFDA、韓国のKFDAの承認を得た安全な薬剤です。
主成分はポリ乳酸という、トウモロコシやジャガイモなどのデンプンを原料とした比較的アレルギーの出にくい成分であり、以前から医療現場で使用されている安心な成分です。

監修医師

城野 親德
総院長
城野 親德

経歴

  • 慶應義塾大学医学部卒業
  • シロノクリニックを開業・総院長に就任
  • ドクターシーラボを設立し、取締役会長に就任
  • 企業家ネットワーク 第10回年間優秀企業家賞を受賞

所属学会・資格

  • 日本レーザー医学会
  • 日本形成外科学会
  • 日本抗加齢医学会
  • 日本皮膚科学会
  • 日本美容皮膚科学会
  • 日本美容外科学会

  • サーマクール認定医
  • ウルセラ認定医
佐藤 美
恵比寿院 副院長
佐藤 美
シロノクリニック 恵比寿

経歴

  • 杏林大学医学部卒業
  • 杏林大学病院形成外科勤務
  • 都内美容皮膚科勤務
  • シロノクリニック入職
  • シロノクリニック横浜院 院長就任
  • 都内美容外科兼務
  • シロノクリニック恵比寿本院 副院長就任
  • シロノクリニック医師の技術指導を担当

所属学会・資格

  • 日本美容皮膚科学会

  • サーマクール認定医
  • ウルセラ認定医
江馬 潤
恵比寿院 医局長
江馬 潤
シロノクリニック 恵比寿

経歴

  • 北里大学医学部卒業
  • 戸塚共立第1病院入局
  • シロノクリニック入職
  • シロノクリニック恵比寿本院 医局長就任
  • メンズ美容ブログ「恵比寿”男前増産”計画」の執筆を担当

所属学会・資格

  • 日本内科学会
  • 日本抗加齢医学会

  • サーマクール認定医
  • ウルセラ認定医
笠井 美貴子
銀座院 院長
笠井 美貴子
シロノクリニック 銀座

経歴

  • 東京女子医科大学医学部卒業
  • 大森赤十字病院(内科、外科、皮膚科)研修
  • 東京女子医科大学病院(皮膚科)勤務
  • 三井記念病院皮膚科勤務
  • 都内美容クリニック勤務
  • シロノクリニック入職
  • シロノクリニック銀座院 院長に就任

所属学会・資格

  • 日本皮膚科学会

  • サーマクール認定医
  • ウルセラ認定医
内山 怜香
横浜院 院長
内山 怜香
シロノクリニック 横浜

経歴

  • 慶應義塾大学医学部卒業
  • 飯塚病院研修(内科、形成外科)
  • 慶應義塾大学病院勤務
  • 大手美容外科勤務
  • シロノクリニック入職

所属学会・資格

  • サーマクール認定医
  • ウルセラ認定医
  • ボトックス認定医